
¿Cuánto dejaría de recibir Colombia tras el retiro de ayuda económica de Estados Unidos?
Las nuevas tensiones entre la Casa Blanca y la Casa de Nariño tienen como antecedente más cercano el anuncio de descerti...

No habrá filial extranjera: la polémica por reforma administrativa en EPM
La organización quiere crear una nueva filial para temas administrativos y logísticos, pero estará en Medellín.En las úl...

El pueblo de Antioquia que se quedó sin bóvedas en el cementerio por récord de asesinatos
Este año van 55 asesinatos, algo nunca visto en la historia de este pueblo del Suroeste. Esto se suma a que las bóvedas ...

Así montan las asonadas, el arma de ilegales contra la Fuerza Pública
Autoridades registran incremento de estas acciones, al pasar de 15 casos en todo 2023 a 35 en lo corrido del presente añ...

Estos son los equipos que ya aseguraron su lugar en los cuadrangulares de la Liga y los que aún sueñan con un cupo
Tres equipos ya aseguraron su lugar, mientras otros luchan contrarreloj por no quedarse fuera de la gran fiesta del fútb...

Día clave para Uribe: Tribunal dirá si confirma o cambia su sentencia
La decisión que tome el tribunal podrá ser apelada ante la Corte Suprema de Justicia.Este martes, el Tribunal Superior d...

Gremios piden diplomacia ante nuevos aranceles de Trump: en riesgo 5 millones de empleos y exportaciones de 3.000 empresas
Los gremios consideran que el anuncio de imponer nuevos aranceles a Colombia debe tratarse por canales diplomáticos, no ...

Crisis con EE. UU. enfrenta a Petro y al uribismo: “Consecuencia de una política errática”
Mediante un trino en Blu Sky, Donald Trump aseguró un recorte presupuestal para Colombia y nuevos aranceles. El presiden...

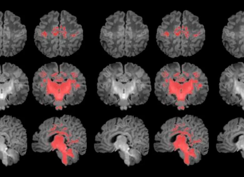
La contaminación del aire durante el embarazo retrasa la maduración del cerebro en los recién nacidos
Así lo concluyó un estudio publicado en la revista Environment International, en el que los investigadores observaron qu...

Caída global de Amazon Web Services afectó a cientos de apps como ChatGPT, Airbnb y Snapchat: así opera el gigante de la nube
Usuarios alrededor del mundo experimentaron la interrupción de páginas web, aplicaciones y videojuegos que dependen de l...

Presunta “chivera” golpeó a joven estudiante de un colegio de Bello, ¿por qué?
Hay escándalo en el municipio de Bello a raíz de un video que retrataría la “conchudez” de ciertos energúmenos conductor...

Joven fue asesinado a golpes por varias personas tras salir de su jornada laboral en Bogotá
La víctima se movilizaba en bicicleta cuando fue interceptada por cinco personas en plena vía del sector de Patio Bonito...

Los problemas que arman caos afuera del Hotel Nutibara, Medellín
Los venteros ambulantes y los habitantes de calle dificultan el acceso a este emblemático hotel. Piden una intervención ...

Ministro Edwin Palma reconoce que polémico decreto interviene el mercado de energía
Acolgen denunció la intervención y el jefe de cartera la reconoció. Aquí los detalles del asunto.L a Asociación Colombia...

Humo blanco para continuar con el puente hacia el aeropuerto José María Córdova
Municipio y dueños de lote en litigio llegaron a un acuerdo para la intervención anticipada a cambio de un compromiso de...

Sin complicaciones, pero con poca participación cerraron las elecciones de Consejos Municipales y Locales de Juventud
Esta es la segunda vez que se realizan elecciones para Consejos de Juventud que se realizan en el país. Las primeras fue...

¿Qué hay más allá de la muerte? Un doctor colombiano lo explica en su libro
Se trata del médico antioqueño Rodrigo Moreno Restrepo, quien acaba de lanzar su libro Somos polvo de estrellas. La muer...

Los siete inolvidables años de la colombiana Paula Patiño con el Movistar Team: ¿qué sigue para ella?
La pedalista paisa fue una de las mejores gregarias durante todo ese tiempo en el equipo español. Posiblemente siga corr...

Marruecos derrotó a Argentina y le dio a África el segundo título de un Mundial Sub-20
Contra todo pronóstico, Marruecos se consagró campeón del Mundial Sub-20 y confirmó su gran presente futbolístico. Yassi...

La centroderecha gana en Bolivia y Rodrigo Paz es elegido presidente
Paz fue elegido presidente de Bolivia tras derrotar en segunda vuelta a Jorge ‘Tuto’ QuirogaElegido presidente de Bolivi...

De Turbo a Tumaco: los rincones donde nació el talento de la Colombia que terminó tercera en el Mundial Sub-20
Del Caribe al Pacífico, del Eje Cafetero a los Llanos, la Colombia Sub-20 es el reflejo de un país que sigue encontrando...

Disputa por la rectoría de la UPC divide al Gobierno
El pulso por la rectoría en la Universidad del Cesar creció al punto de disputas entre ministros y delegados de Petro.Ha...

“La participación juvenil debe asumirse como una prioridad nacional y no como un ejercicio aislado”: MOE
Con cerca de millón y medio de votantes, la MOE señaló que fortalecer los Consejos de Juventud exige una comunicación má...

Celebridades de Hollywood respaldan multitudinarias protestas contra Donald Trump, el presidente responde con Inteligencia Artificial
Actores como Robert De Niro, John Cusack, Glenn Close y Pedro Pascal han respaldado públicamente las manifestaciones.Cer...